Basil Vlasyuk@toomanynights
Котик едет в клинику
2025-01-18 11:50:03
Basil Vlasyuk@toomanynights
Котик в Small Animal Hospital, очень крупный и крепкий (7кг), что с лапами - пока неясно, ждёт седацию. Кастрирован, есть ошейник, чипа нет.
2025-01-18 12:51:19
Basil Vlasyuk@toomanynights
О коте, найденном в субботу в старом городе:
Кастрирован, на вид около 6 лет, весит 7кг. Чрезвычайно ласковый, все врачи описывают его как "annoyingly good" - как только видит человека, сразу требует внимания.
Перелом бедренной кости, требуется операция. В остальном здоров и бодр, ест, пьёт, ходит в туалет.
Что ему нужно:
- Прежде всего найти хозяина (он почти наверняка домашний)
- До тех пор - передержка после операции
- Ну и желательно скинуться, я один всё не потяну. Текущий баланс: -192.6. Можно кидать на револют revolut.me/toomanynights с пометкой "для Сёмы". Его наверняка зовут по-другому, а Сёма, потому что 7кг.

Кастрирован, на вид около 6 лет, весит 7кг. Чрезвычайно ласковый, все врачи описывают его как "annoyingly good" - как только видит человека, сразу требует внимания.
Перелом бедренной кости, требуется операция. В остальном здоров и бодр, ест, пьёт, ходит в туалет.
Что ему нужно:
- Прежде всего найти хозяина (он почти наверняка домашний)
- До тех пор - передержка после операции
- Ну и желательно скинуться, я один всё не потяну. Текущий баланс: -192.6. Можно кидать на револют revolut.me/toomanynights с пометкой "для Сёмы". Его наверняка зовут по-другому, а Сёма, потому что 7кг.

2025-01-20 07:38:57
Aliona K@Alena_ax
Добавьте пожалуйста скрины диагноза и счета с клиники если есть.
По поводу хозяина - пробовали по району искать узнавать знает ли кота кто-то?
2025-01-20 09:01:11
Basil Vlasyuk@toomanynights
Да, конечно, в течение часа пришлю всё что есть.
Хотим расклеить объявления напротив кафешки, где его нашли, и у основных ветклиник, но до этого ещё не дошли руки.
Выкладывал объявление на ФБ: https://www.facebook.com/share/p/1A8GbJPjXy/
Хотим расклеить объявления напротив кафешки, где его нашли, и у основных ветклиник, но до этого ещё не дошли руки.
Выкладывал объявление на ФБ: https://www.facebook.com/share/p/1A8GbJPjXy/
2025-01-20 09:04:52
Aliona K@Alena_ax
Как будете клеить, поспрашивать ещё может в круасантери напротив и рядом в магазинах, может кота кто-то знает или знают кто в районе кормит котов и кого можна спросить.
2025-01-20 09:21:55
Basil Vlasyuk@toomanynights
Спасибо, хорошая идея!
2025-01-20 09:25:29
Vilena Artamonova volunteer of Cat Land Sanctuary charity@Vilena_Cats
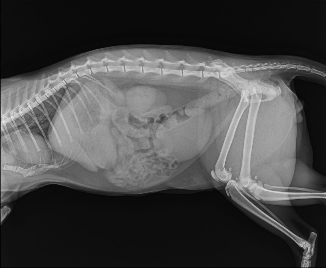
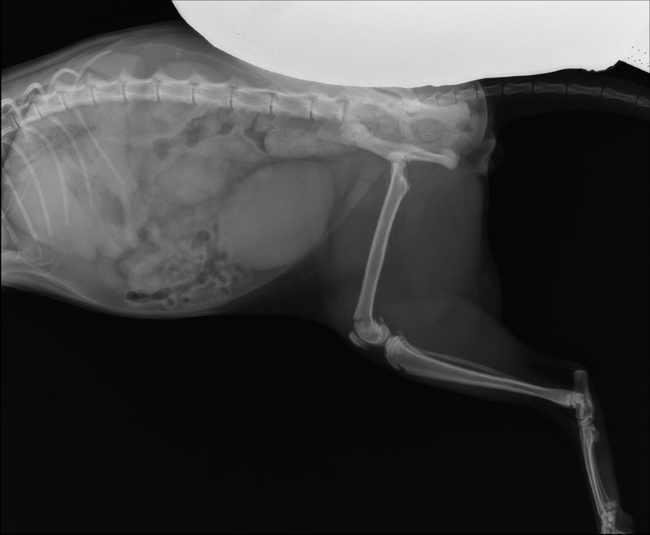
Тут закрытый перелом не кости а коленного сустава, сильно выраженная бронхиальная картина. Антибиотик нужен
Он писает? На снимке мочевой как дыня переполнен
2025-01-20 10:14:41
Basil Vlasyuk@toomanynights
Спасибо за корректировку, видимо трудности перевода.
Он писал после рентгена
2025-01-20 10:16:12
Vilena Artamonova volunteer of Cat Land Sanctuary charity@Vilena_Cats
Кот шикарный,пусть поправляется 💋😻
2025-01-20 10:18:20
Basil Vlasyuk@toomanynights
сообщение удалено
2025-01-20 09:42:06
Anastasiia 🍬 S@anastasiiasorzh
Подскажите, хозяев нашли?
2025-01-20 19:20:35
Basil Vlasyuk@toomanynights
Полный отчёт дам завтра, а то чот сил нет(
Вкратце:
- кота прооперировали, всё хорошо, сейчас отходит от наркоза
- нашли временную передержку
- хозяина пока не нашли
- расклеили объявления в районе , где его нашли, и у Animal health (если есть желающие присоединиться - скажите, пришлю объявление для распечатки)
- краундфаундинг прошёл восхитительно, но он пока продолжается, операция дорогая (отчёт с доходами и расходами опять же завтра)
2025-01-20 19:44:01
Basil Vlasyuk@toomanynights
#приключениясёмы
Прежде всего - всем большое спасибо за донаты 🙏 Важен абсолютно каждый вклад. Я просто в шоке от количества помощи, без шуток.
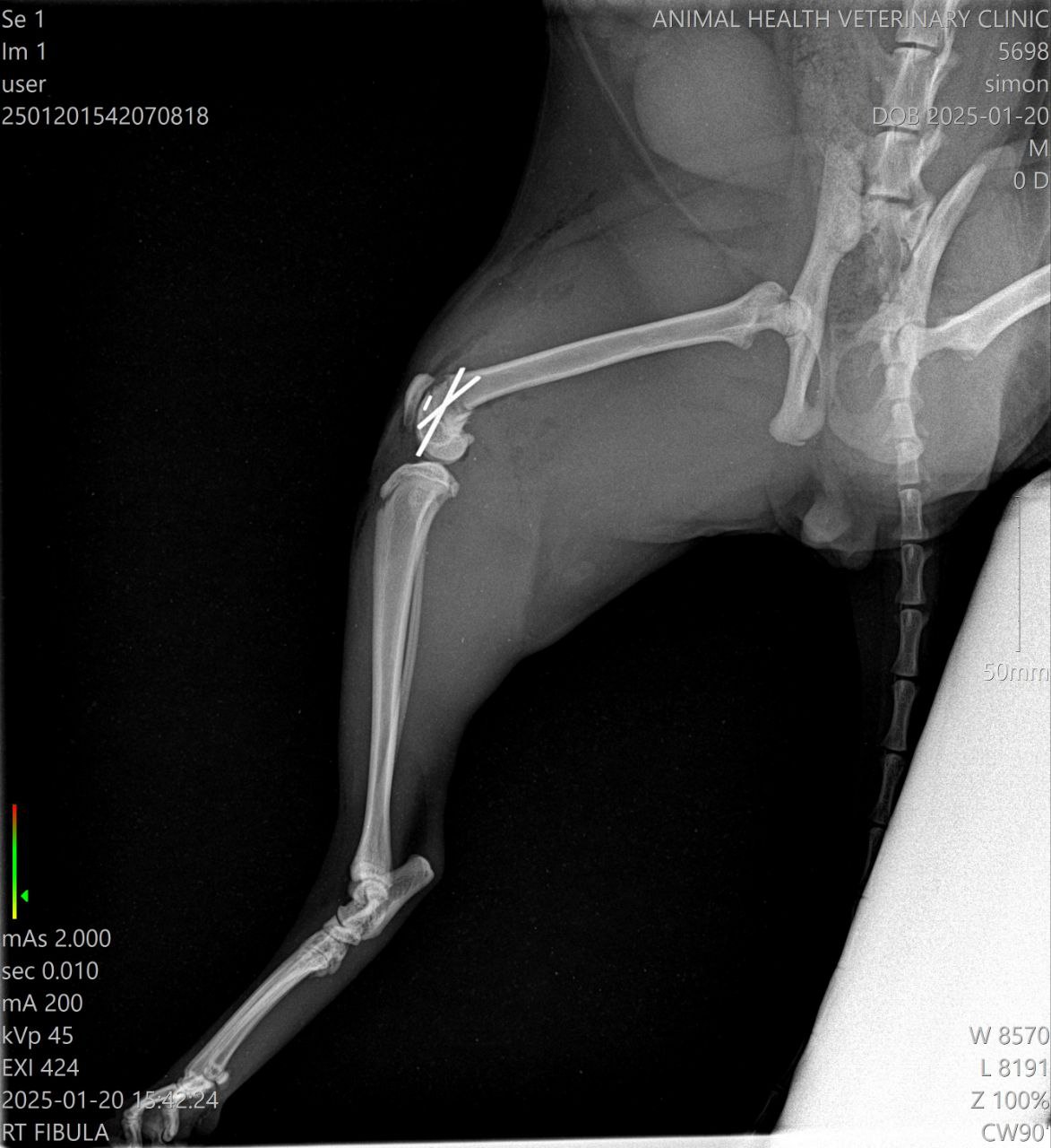
Сёму прооперировали, теперь щеголяет бритой ногой, внутри которой крутые спицы. Отойдя от наркоза, стал бодр и ласков, как всегда, и уже на передержке.
Мы расклеили объявления в том районе, где он был найден, и перед Animal health. Через день нашёлся хозяин, и он был не в восторге от вида счёта. Хозяин - киприот, утверждает, что ему друзья семьи лечат животных бесплатно итд. Я уговорил его подумать о частичной оплате, но я бы не рассчитывал.
Что ему нужно сейчас:
- Хозяин - НАЙДЕН (for better or worse…)
- Передержка - НАЙДЕНА, спасибо!
- За сутки на Сёму пришло целых 15 донатов, это восхитительный результат ❤️ Но операция дорогостоящая и сбор продолжается. Текущий баланс: -547.6. Желающим поучаствовать: revolut.me/toomanynights
Всем огромное спасибо за участие в судьбе самого ласкового кота в мире!

Прежде всего - всем большое спасибо за донаты 🙏 Важен абсолютно каждый вклад. Я просто в шоке от количества помощи, без шуток.
Сёму прооперировали, теперь щеголяет бритой ногой, внутри которой крутые спицы. Отойдя от наркоза, стал бодр и ласков, как всегда, и уже на передержке.
Мы расклеили объявления в том районе, где он был найден, и перед Animal health. Через день нашёлся хозяин, и он был не в восторге от вида счёта. Хозяин - киприот, утверждает, что ему друзья семьи лечат животных бесплатно итд. Я уговорил его подумать о частичной оплате, но я бы не рассчитывал.
Что ему нужно сейчас:
- Хозяин - НАЙДЕН (for better or worse…)
- Передержка - НАЙДЕНА, спасибо!
- За сутки на Сёму пришло целых 15 донатов, это восхитительный результат ❤️ Но операция дорогостоящая и сбор продолжается. Текущий баланс: -547.6. Желающим поучаствовать: revolut.me/toomanynights
Всем огромное спасибо за участие в судьбе самого ласкового кота в мире!

2025-01-22 09:34:25

Yulia










