Юля Юля@yulya_yulya_yulya_ya
Ничего нет(( врач из рф сказала надо капать церукал через яремную вену, кто может это сделать сейчас в субботу
2024-06-15 09:57:30
Кристина@kris_the_cute
В лимассоле есть small animal hospital …
2024-06-15 13:09:26
Anastasia Murvel@MURVEL
Клиника Small animal hospital открыта.
Инородный предмет может быть?
Жидкие каловые массы могут обходить твердые, если не ошибаюсь, и твердые при этом все равно внутри остаются.
Диарею (если это именно диарея) останавливать надо, маленьким обезвоживание очень опасно. Энтерофурилом могу одной капсулой поделиться безвозмездно, но я за очный осмотр ветеринарного врача 😓
2024-06-15 13:14:27
Юля Юля@yulya_yulya_yulya_ya
Мы в ороклини в Ларнаке…(( у меня еще 4 новорожденных котят, я не смогу отлучиться до лимассоле, к сожалению
2024-06-15 15:32:48
Aliona K@Alena_ax
В ларнаке v3ts должны работать сегодня
2024-06-15 15:38:44
Юля Юля@yulya_yulya_yulya_ya
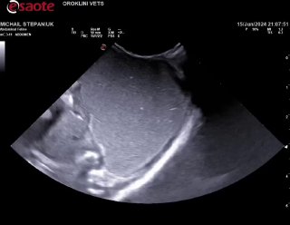
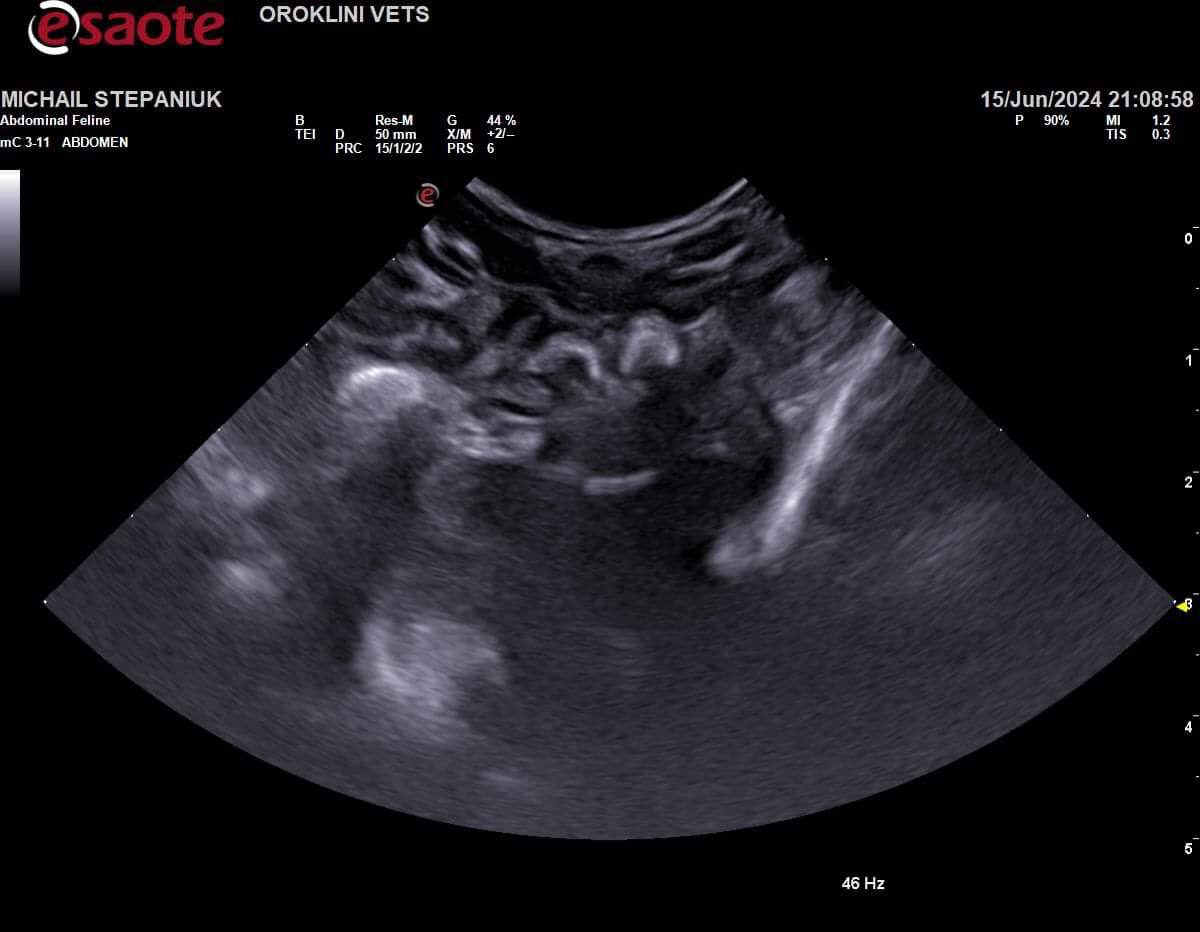
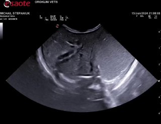
Нарушена перистальтика скорее всего, дело не в Кале, молоко не переходит из желудка дальше, а выходит обратно… надо узи. В ороклини пообещали принять, но уже 6:30, с 2 жду((( никто не пришел туда
2024-06-15 15:47:57
Vilena Artamonova volunteer of Cat Land Sanctuary charity@Vilena_Cats
Надо в Зоокозмоз к доктору Наталье,у нее есть представление что делать и узист отличная.
2024-06-15 16:00:15
Юля Юля@yulya_yulya_yulya_ya
Я вчера им звонила, ответил мужчина по тел, сказал, что такому маленькому нереально поставить капельницу… блин, моя врач в рф на раз два эти капельницы ставит, хоть самой учись((
2024-06-16 05:14:41
Vilena Artamonova volunteer of Cat Land Sanctuary charity@Vilena_Cats
Этот мужчина всегда так говорит,когда звоните или приходите в Зоокозмоз,говорите только с Натальей! Все реально, завтра звоните снова
2024-06-16 06:39:15
Vilena Artamonova volunteer of Cat Land Sanctuary charity@Vilena_Cats
Заворот желудка тоже может быть. На практике был один малыш,ему было пара недель вроде,заворот,оперировали и удачно,вырос в большого котэ🐈
2024-06-15 16:01:34
Vilena Artamonova volunteer of Cat Land Sanctuary charity@Vilena_Cats
Это противорвотное.
Спросите у своего врача про аксамон,прозерин,у меня есть,они на перистальтику жкт и мочевого отлично работают,в/м ок
2024-06-16 06:42:12
Юля Юля@yulya_yulya_yulya_ya
Спасибо, написала врачу, жду ответ
2024-06-16 08:36:00
Юля Юля@yulya_yulya_yulya_ya
Прозерином не пробовала перистальтику заводить, но чем черт не шутит.
Поможете мне в/м уколоть? Я малым таким не колола ни разу…
2024-06-16 09:15:27
Vilena Artamonova volunteer of Cat Land Sanctuary charity@Vilena_Cats
Вам врач прозерин подтвердил? Уколоть могу
2024-06-16 09:19:20
Юля Юля@yulya_yulya_yulya_ya
Да, она не пробовала, но говорит, можно попробовать. Вот она пишет: «Ну, при нейрогенном мочевом пузыре прозерин прописывают
Можно попробовать»
2024-06-16 09:24:06
NaTa 03556@nvglory
Энтерофурил сиропчик это отличный препарат от диареи и всего с ней связанного, может этому котенку не подходит это молоко сухое? Капельница?
2024-06-15 12:54:09





